esthetic審美歯科
- ホーム
- 審美歯科
ABOUT審美歯科治療とは

主に、歯の色を白くしたり、歯並びを整えたり、欠けた歯を補綴するなど、患者さんがより美しい笑顔を手に入れるための治療です。
具体的には、ホワイトニング、ホワイトフィリング、セラミッククラウン、矯正治療、インプラント治療などがあります。
患者さんにとって最適な治療法を選択し、美しい歯並びや健康な歯を手に入れることができます。
price治療費
| オールセラミック | ¥160,000- |
|---|---|
| メタルボンドポーセレンクラウン | ¥150,000- |
| 硬質レジン前装冠 | ¥120,000- |
| 白金加金フルクラウン | ¥100,000- |
| セラミックアンレー | ¥100,000- |
| ハイブリットアンレー | ¥70,000- |
| ハイブリットインレー | ¥50,000- |
| ナイトガード① | ¥20,000- |
| ナイトガード② | ¥40,000- |
| 治療用義歯 | ¥100,000- |
| レジン床義歯 | ¥300,000- |
| 金属床義歯 | ¥500,000- |
| アタッチメント義歯 | 装置により |
kinds治療の種類
オールセラミックス
セラミックで作られた素材です。
詰め物(インレー)や被せ物(クラウン)として使われます。
とても白く美しいのですが、若干耐久性に劣ります。
-
BEFORE 
天活歯の為変色
-
AFTER 
オールセラミックにて補綴
-
BEFORE 
上の前歯が変色
-
AFTER 
オールセラミックにて補綴
ハイブリッドセラミックス
セラミックに歯科用プラスチックを混ぜて作られた素材です。
こちらも詰め物や被せ物として使われます。セラミックの美しさにプラスチックの耐久性が備わっています。
case治療例紹介
オールセラミック修復治療
セラミックに歯科用プラスチックを混ぜて作られた素材です。
こちらも詰め物や被せ物として使われます。
セラミックの美しさにプラスチックの耐久性が備わっています。
-
BEFORE 
オールセラミック修復治療01
-
AFTER 
オールセラミック修復治療01
-
BEFORE 
オールセラミック修復治療02
-
AFTER 
オールセラミック修復治療02
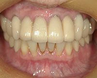
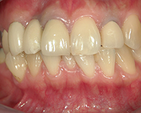
審美歯科と歯周病治療
歯周病治療と審美歯科治療を行うことで審美性を回復した症例です。
-
BEFORE 
東様症例審美歯周病(前)2009年の術前お写真
-
AFTER 
東様審美歯周病(後)2015年メンテナンス時のお写真
他院ブリッジ後の審美歯科治療
他院で前歯の治療を行った患者様を、ブリッジの歯茎のくぼみを無くし、骨移植をして審美性を回復した症例です。
-
BEFORE 
ブリッジ審美(前)
-
AFTER 
ブリッジ審美(後)
MESSAGE銀座4丁目東デンタルオフィスからのメッセージ
「この歯、本当に抜かないといけないの?」「もっと選択肢はないの?」
歯科治療に関して、このような不安を感じたことはありませんか?
多くの歯科医院では、説明が不十分なまま治療が進んでしまうことも少なくありません。
当院では、患者様がご自身の歯の状態を納得いくまで理解し、最適な治療法を一緒に見つけることを最も大切にしています。
他院では教えてくれない「本当の歯の状態」をお見せします
当院では、顕微鏡や高画質カメラを使って、肉眼では見えない歯の細かな状態まで鮮明な画像でご確認いただけます。
「なぜこの歯は痛むのか?」
「本当に治療が必要なのか?」
「他の選択肢はないのか?」
といった疑問に対し、画像を交えながら一つひとつ丁寧にご説明します。
たとえ歯が大きく割れていても、すぐに「抜歯」や「インプラント」といった選択肢を提示することはありません。
「できる限りご自身の歯を残す」ことを第一に考え、あらゆる可能性を一緒に探っていきます。
時間を惜しまず、とことん向き合います
患者様の状態を正確に把握し、納得のいく説明を行うためには時間が必要です。当院では、患者様一人ひとりに平均1時間程度の時間を確保し、どんな些細な疑問や不安にもお答えします。
「他の歯科医院も見てみたい」というお気持ちも、もちろん尊重します。当院での説明を聞いた上で、一度他の選択肢を検討されても構いません。
実際に、他の歯科医院に行かれた後に、「やっぱり納得できる説明はここだけだった」と当院に戻って来られる患者様も多くいらっしゃいます。
私たちが目指すのは、単に治療を行うだけでなく、患者様との間に深い信頼関係を築くことです。
あなたの歯の健康を、私たちと一緒に守っていきましょう。
